Ewing’s Sarcoma: The Silent Threat to Young Lives
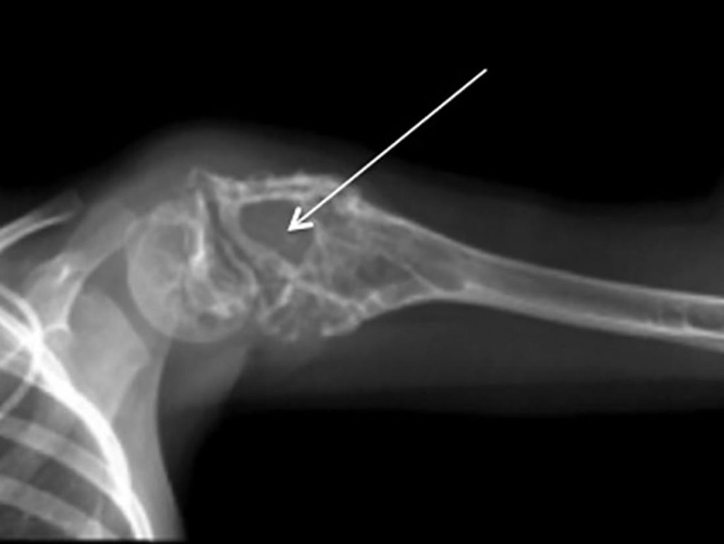
Ewing’s sarcoma is a rare form of cancer that predominantly affects teenagers but can also occur in younger children and young adults. Known also as Ewing's sarcoma or Ewing tumor,...
Read More
Ewing’s sarcoma is a rare form of cancer that predominantly affects teenagers but can also occur in younger children and young adults. Known also as Ewing's sarcoma or Ewing tumor,...
Read More